ΘΕΡΑΠΕΙΕΣ

Αντιμετώπιση νόσων που αφορούν στα δόντια & στους στηρικτικούς ιστούς που τα περιβάλλουν

Kλείστε ραντεβού

Η οδοντιατρική είναι μία εκπληκτική επιστήμη που διαθέτει πολλούς τομείς και εξειδικεύσεις. Στο ιατρείο, το αντικείμενο που μας ενδιαφέρει περισσότερο είναι ο πολφός του δοντιού, η ενδο –έσω του δοντιού θεραπεία και συνεχώς εξελισσόμαστε στους τρόπους αντιμετώπισης των παθήσεων τόσο του πολφού των δοντιών όσο και των στηρικτικών του ιστών.

1.ΠΑΘΗΣΕΙΣ ΠΟΛΦΟΥ

➤  ΑΝΑΓΕΝΝΗΤΙΚΕΣ ΤΕΧΝΙΚΕΣ

H γνώση και ευαισθητοποίηση για τη σημασία και την αξία της διατήρησης της ζωτικότητας του δοντιού, μας οδηγεί ΣΗΜΕΡΑ σε μία πιο συντηρητική –αναγεννητική αντιμετώπιση των παθήσεων του πολφού. Έτσι σε περιπτώσεις μεγάλου τερηδονισμού ή τραυματισμού δοντιού, στοχευόμενα δεν καταφεύγουμε αμέσως σε ενδοδοντική θεραπεία (απονεύρωση) αλλά εφαρμόζουμε πιο συντηρητικές θεραπείες (άμεση-έμμεση κάλυψη πολφού, μερική – ολική πολφοτομή) με σκοπό να διατηρηθεί το δόντι ζωντανό. Η χρήση των νεότερων βιοκεραμικών υλικών (ΜΤΑ, BIODENTINE) αποτελεί θεραπεία εκλογής σε αυτές τις συντηρητικότερες προσεγγίσεις.

➤  ΕΝΔΟΔΟΝΤΙΚΗ ΘΕΡΑΠΕΙΑ

Στις περιπτώσεις που η φλεγμονή του πολφού κρίνεται μη αντιστρεπτή ή και στις περιπτώσεις που ήδη έχει υπάρξει νέκρωση του πολφού η ενδοδοντική θεραπεία αποτελεί τη μοναδική λύση διατήρησης του δοντιού στο φραγμό.

Στις μέρες μας η κλινική ενδοδοντία βρίσκεται στην πιο ενδιαφέρουσα φάση. Έχοντας στη διάθεσή μας μια πληθώρα σύγχρονων συστημάτων [εργαλεία μεγέθυνσης (loopes, οδοντιατρικό μικροσκόπιο), ψηφιακή ακτινογραφία , ηλεκτρονικός εντοπιστής ακρορριζίου, χρησιμοποίηση μηχανοκίνητων θερμικών εργαλείων νικελίου-τιτανίου (Ni-Ti), συστήματα έγχυσης θερμής γουταπέρκας και κάθετης συμπύκνωσης] επιχειρείται:

  • Η αφαίρεση από το εσωτερικό του δοντιού (τους ριζικούς σωλήνες) του μολυσμένου πολφικού ιστού, των βακτηρίων όταν υπάρχουν, ώστε να σταματήσει το δόντι να αποτελεί πηγή μικροβίων, ερεθισμού και πόνου.
  • Η επίτευξη μιας όσο το δυνατόν ερμητικής έμφραξης των ριζικών σωλήνων.

Σήμερα, στο «οπλοστάσιό» μας, έχει προστεθεί και η υπολογιστική τομογραφία κωνικής δέσμης (CBCT), οι εικόνες της οποίας είναι ιδανικές τόσο για να μας πληροφορήσουν για τη μορφολογία του συστήματος των ριζικών σωλήνων αλλά κυρίως να μας βοηθήσουν στη διάγνωση των βλαβών στο άκρο της ρίζας, στην έκταση αυτών των βλαβών και τη σχέση τους με παρακείμενες ανατομικές δομές (π.χ. ιγμόρειο).

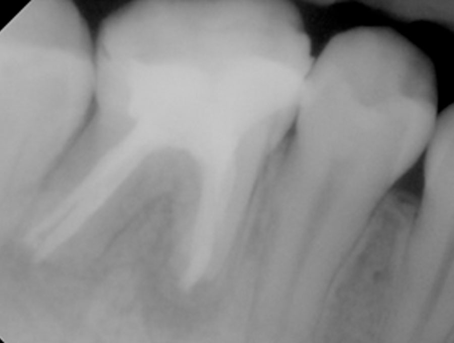
➤  ΜΙΚΡΟΧΕΙΡΟΥΡΓΙΚΗ ΕΝΔΟΔΟΝΤΙΑ

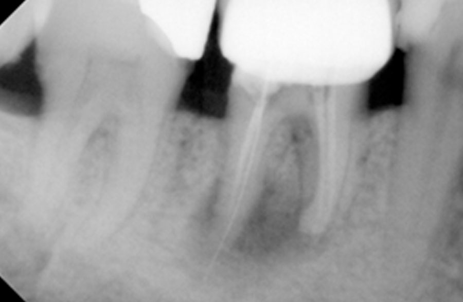
Δυστυχώς υπάρχουν περιπτώσεις όπου η νεκρωτική βλάβη του πολφού ενός δοντιού, συνοδεύεται από έξοδο των μικροβίων από το σηπτικό ριζικό σωλήνα στους περιακρορριζικούς ιστούς. Η χρόνια ακρροριζική περιοδοντίτιδα όταν χαρακτηρίζεται από μεγάλες δομικές αλλοιώσεις των περιακρορριζικών ιστών, μεγάλη απορρόφηση του φατνιακού οστού που στηρίζει το δόντι, δεν μπορεί να αντιμετωπιστεί πάντα με τη συντηρητική ενδοδοντική θεραπεία του υπαίτιου δοντιού.

 

Προκειμένου να παραμείνει το δόντι λειτουργικό στο φραγμό και να μη προβούμε στην αφαίρεσή του, προσπαθούμε να συνδυάσουμε την ενδοδοντική θεραπεία με τη χειρουργική αφαίρεση όλων των παθολογικών στοιχείων που εντοπίζονται στους περιακρορριζικούς ιστούς. Η μικροχειρουργική επέμβαση πραγματοποιείται από τον γναθοπροσωπικό χειρουργό κ. Βήλο Γιώργο.

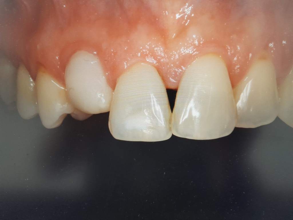
Αρχική εικόνα δοντιού

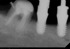
Τελική εικόνα δοντιού μετά από θεραπεία

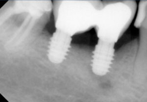
Στις ελάχιστες περιπτώσεις που ένα δόντι δεν μπορεί να σωθεί, δεν θα διστάσουμε να το αντικαταστήσουμε με ένα εμφύτευμα. Η εμφυτευματολογία αποτελεί μια έγκυρη θεραπευτική επιλογή αντικατάστασης δοντιών που δεν σώζονται, με όσο το δυνατό πιο αισθητικό και συντηρητικό τρόπο. Η χειρουργική τοποθέτηση των εμφυτευμάτων πραγματοποιείται από τον εμφυτευματολόγο κ. Μπαρμπετσέα Ανδρέα, ενώ στη συνέχεια η προσθετική αποκατάσταση επί των εμφυτευμάτων , πραγματοποιείται στο ιατρείο μας.

➤  ΕΠΑΝΑΛΗΨΗ ΕΝΔΟΔΟΝΤΙΚΗΣ ΘΕΡΑΠΕΙΑΣ

Η επανάληψη μιας αποτυχημένης ενδοδοντικής θεραπείας θεωρείται ως η πιο περίπλοκη διαδικασία, που ενέχει αρκετούς κινδύνους για τη μελλοντική λειτουργικότητα του δοντιού. Η απόφαση για επανάληψη είναι συλλογική, μεταξύ της οδοντιάτρου και του ασθενούς, αφού συνεκτιμηθούν μια σειρά παραγόντων με κυριότερους τη διάγνωση της αιτίας της αποτυχίας της προηγούμενης θεραπείας και το όφελος της επανάληψης.

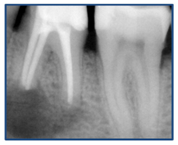
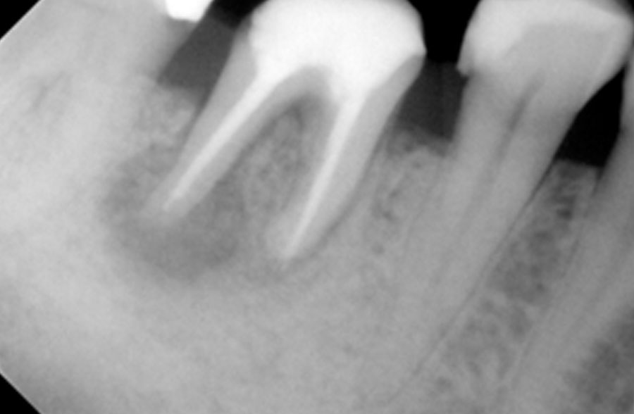
Αρχική εικόνα δοντιού

Εικόνα δοντιού μετά από επανάληψη θεραπείας

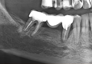
Η επανάληψη μιας ενδοδοντικής θεραπείας δεν σημαίνει και τη διάσωση τελικά του δοντιού. Η δυναμικότητα των παθογόνων αναερόβιων μικροβίων που έχουν αναπτυχθεί στο σύστημα των ριζικών σωλήνων με την συνεπακόλουθη καταστροφή των περιακρορριζικών ιστών καθιστά πολλές φορές αδύνατη τη διατήρηση του δοντιού, ακόμη και με τον συνδυασμό της μικροχειρουργικής ενδοδοντίας.

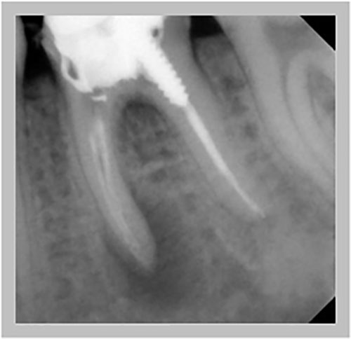
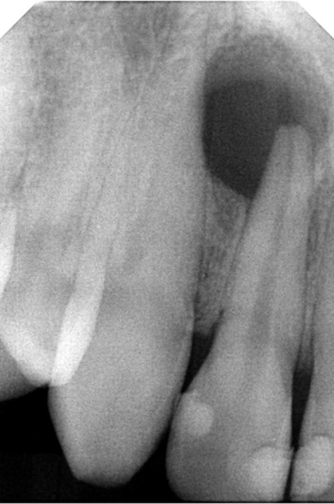
Αρχική εικόνα δοντιού

Τελική εικόνα δοντιού μετά από θεραπεία

Πλήρης καταστροφή παρειακού πετάλου

2. ΠΑΘΗΣΕΙΣ ΠΕΡΙΟΔΟΝΤΙΟΥ

Πέρα από τα δόντια, παθήσεις μπορεί να εμφανιστούν και στους ιστούς που στηρίζουν και περιβάλλουν τα δόντια (περιοδοντικοί ιστοί). Στην οδοντιατρική, οι νόσοι και οι βλάβες του περιοδοντίου (ουλίτιδα-περιοδοντίτιδα) αποτελούν τις πιο διαδεδομένες κύριες χρόνιες μη μεταδοτικές ασθένειες που αλληλοεπιδρούν και με σειρά από συστηματικές νόσους που μπορεί να έχει ο ασθενής (σακχαρώδη διαβήτη, ρευματοειδή αρθρίτιδα, καρδιακά νοσήματα, αιματολογικές διαταραχές, νόσοι του μεταβολισμού κ.ά.).

Στο ιατρείο πραγματοποιείται:

Πρόληψη, διάγνωση και συντηρητική θεραπεία των νόσων των περιοδοντικών ιστών. 

 

Στις μέρες μας, ένα μικρό ποσοστό του πληθυσμού εμφανίζει βαριά περιοδοντική καταστροφή και επομένως χρειάζεται απόλυτα εξειδικευμένες υπηρεσίες.

Οι περισσότεροι από εμάς χρειάζονται περιοδοντολογική φροντίδα, δηλαδή πρόληψη και θεραπεία νόσων – λοιμώξεων που προέρχονται από μικροοργανισμούς που στην πλειονότητα των περιπτώσεων βρίσκονται στο στόμα μας.

Περιστατικά που αντιμετωπίζονται στο ιατρείο μας

Στο ιατρείο ακολουθείται το νεότερο και πλέον σύγχρονο πρωτόκολλο θεραπείας (GBTguidedbiofilmtherapy), σύμφωνα με το οποίο ο οδοντιατρικός καθαρισμός, η θεραπεία ουλίτιδας και η περιοδοντική θεραπεία στη φάση ελέγχου της φλεγμονής και διατήρησης του αποτελέσματός της, πραγματοποιούνται με το πιο αποτελεσματικό, ήπιο και ελάχιστα επεμβατικό τρόπο.

3. ΕΝΔΟΠΕΡΙΟΔΟΝΤΙΚΕΣ ΒΛΑΒΕΣ

Δυστυχώς, στην κλινική πράξη εμφανίζονται αρκετές φορές παθολογικές καταστάσεις στις οποίες είναι δύσκολο να διευκρινιστεί η προέλευση των μικροβίων. Δηλαδή, πιο απλά, καλούμαστε να αντιμετωπίσουμε περιπτώσεις που η αιτία της φλεγμονής είναι σύνθετη και μπορεί αρχικά να ξεκινά από τον πολφό του δοντιού (έσω δοντιού) ή από τα μικροβιακά προϊόντα που εντοπίζονται στο περιρρίζιο που περιβάλλει το δόντι ή και από συνδυασμό των δύο περιπτώσεων.

 

Στα προβλήματα αυτά, η θεραπεία είναι επίσης σύνθετη, ένας συνδυασμός ενδοδοντικής και περιοδοντικής θεραπείας, με σειρά εξαρτώμενη από την πρωτογενή προσβολή.

Ατελής ενδοδοντική θεραπεία που οδήγησε σε περιακρορριζική καταστροφή.
Η επανάληψη της ενδοδοντικής θεραπείας δεν οδήγησε σε πλήρη επούλωση της βλάβης,
καθώς είναι αναγκαία και η περιοδοντική θεραπεία του δοντιού.

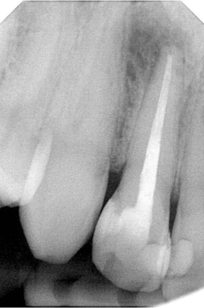
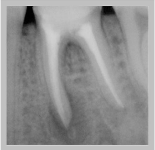
Χρόνια φλεγμονώδης περιακρορριζική βλάβη, κυρίως,

λόγω ενδοδοντικής αιτιολογίας. Μετά την ενδοδοντική θεραπεία

ακολούθησε περιοδοντική θεραπεία.

Δύο χρόνια μετά, παρατηρείται πλήρης εξαφάνιση της βλάβης.

4. ΠΡΟΣΘΕΤΙΚΗ ΑΠΟΚΑΤΑΣΤΑΣΗ ΔΟΝΤΙΩΝ

Σε δόντια στα οποία έχουμε μεγάλη απώλεια της οδοντικής ουσίας τους, η προσθετική τους αποκατάσταση έχει καθοριστική σημασία για τη μακροχρόνια διατήρησή τους. Προσθετικές προσεγγίσεις με ανασυστάσεις ρητινών σε συνδυασμό με ίνες Ribbond, ένθετα-επένθετα, θήκες μεταλλοκεραμικές, θήκες ζιρκονίου ολικής μορφολογίας ή ζιρκονίου με κεραμική επικάλυψη, προστατεύουν τις οδοντικές δομές και αποκαθιστούν τη λειτουργικότητα και την αισθητική.

 

Οι προσθετικές εργασίες τόσο επί των δοντιών όσο και επί των εμφυτευμάτων , κατασκευάζονται στο σύγχρονο οδοντοτεχνικό εργαστήριου του κ. Χατζηττοφή Θεοδόση, όπου με τη χρήση των πιο προηγμένων τεχνολογιών εξασφαλίζεται η άριστη εφαρμογή, η αντοχή και η αισθητική των αποκαταστάσεων.

Επικοινωνήστε με την Οδοντίατρο – Ενδοδοντολόγο
Δρ. Δούρου-Δρίβα Βασιλική, στην Καλλιθέα.

Επικοινωνία